97
W niektórych przypadkach cofnięte dziąsła można odbudować. Sprawdziliśmy dla Państwa, jakie są dostępne opcje.
Odbudowa dziąseł – dlaczego jest to ważne
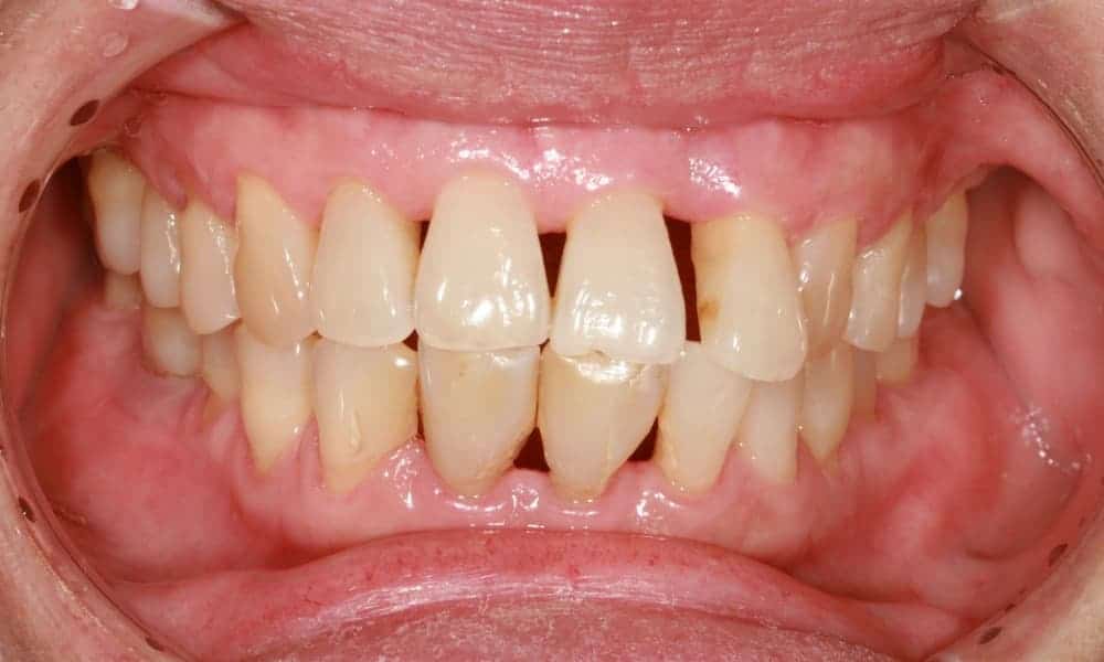
W przypadku cofania się dziąseł stomatolog mówi o recesji dziąseł.
- Przyczyny cofania się dziąseł są różnorodne. Może to być na przykład spowodowane zapaleniem dziąseł.
- Również paradontoza prowadzi do zaniku dziąseł. W tym przypadku stan zapalny obejmuje nie tylko dziąsła, ale cały aparat więzadłowy zęba.
- Paradontoza oznacza zwyrodnieniowe zmiany w aparacie więzadłowym zęba bez stanu zapalnego. Również w tym przypadku dochodzi do cofania się dziąseł.
- Zła wiadomość: utracone dziąsła nie odrastają. Dobra wiadomość jest taka, że dentysta ma różne możliwości odbudowy dziąseł.
- Ważne jest, aby w przypadku zauważenia cofania się dziąseł jak najszybciej zgłosić się do lekarza.
Odbudowa dziąseł dla lepszego zdrowia zębów dzięki niewielkim zabiegom chirurgicznym
Jak już wspomniano, dziąsła niestety nie odrastają. Istnieją jednak możliwości odbudowy dziąseł.
- Profesjonalne czyszczenie zębów: polega na usunięciu kamienia nazębnego, dokładnym oczyszczeniu i wypolerowaniu poszczególnych zębów. Zabieg ten jest zazwyczaj wystarczający w przypadku wcześnie wykrytego i łagodnego zapalenia dziąseł, ponieważ dziąsła nie uległy jeszcze cofnięciu – to kolejny powód, aby regularnie chodzić do dentysty.
- Plastyka dziąseł metodą przesunięcia płata: W przypadku cofnięcia się dziąseł dentysta może je odbudować za pomocą techniki przesunięcia płata. W tym celu lekarz „przesuwa” zdrowe dziąsło w miejsce, gdzie brakuje dziąsła. Następnie mocuje je w tym miejscu niewielkim szwem, aby mogło się zrosnąć. Jeśli nie ma wystarczającej ilości zdrowego dziąsła, stosuje się przeszczep tkanki łącznej.
- Technika tunelowa: W tej metodzie dziąsło jest oddzielane od kości za pomocą specjalnych narzędzi. Następnie w tkance tworzy się płatek szczelinowy, tworząc tunel. Jednocześnie pobiera się nieco tkanki łącznej z podniebienia. Przeszczep ten jest następnie umieszczany w tunelu i zszyty.
- Te zabiegi mikrochirurgiczne powinny być wykonywane wyłącznie przez specjalistów, czyli wykwalifikowanych periodontologów. Stomatolodzy ci specjalizują się w leczeniu problemów z dziąsłami i aparatem więzadłowym zębów i opanowali różne techniki.
